Склерокистоз яичников – это патология, которую диагностируют у большей половины женщин, страдающих эндокринным бесплодием и проблемами с зачатием. Точная причина заболевания остается до конца неизученной. Болезнь может протекать в различных формах, каждая из которых требует индивидуального подхода к терапии.
Что такое склерокистоз яичников
СПКЯ (склерокистоз, поликистоз или синдром поликистозных яичников) представляет собой изменение структуры и нормальной работы яичников, при котором отсутствует созревание и выход доминатного фолликула (овуляция).
При болезни происходит разрастание количества поликистозно измененных яичников и отсутствует доминантный фолликул. Измененные яичники увеличиваются в объеме из-за разрастания стромы, их белочная оболочка приобретает жемчужный оттенок. На разрезе они похожи на соты с полостями различного диаметра.
По итогам различных клинических исследований склерокистозные яичники бывают первичными (болезнь Штейна-Левенталя) и вторичными, которые развиваются при нейроэндокринных нарушениях.
В гинекологии синдром склерокистозных яичников клинически подразделяют на три формы:
- Первичная форма (типичные измененные яичники).
- Смешанная (сочетание патологии яичников и надпочечников).
- Центральная форма (нарушение работы центральных отделов и, как следствие, вторичный склерокистоз).
Причины
Не существует четкой единой подтвержденной причины развития этого состояния. Первичную форму склерокистоза связывают с генетической нехваткой ферментов. Эти ферменты блокируют превращение андрогенов в эстрогены. При этом нарушение работы ферментной системы приводит к гормональному дисбалансу, что вызывает характерные изменения.
Причиной смешанной формы может стать изменение функции коры надпочечников, где происходит нарушение синтеза половых гормонов.
В склерополикистозе яичников центрального генеза играют роль структуры головного мозга. Причиной нарушения их работы могут стать депрессия, инфекционный фактор, психотравма, аборты.
Симптомы
Клинические симптомокомплексы склерокистоза могут быть разнообразными. Ключевым признаком при любой форме становятся расстройства менструального цикла, например, ановуляция.
Ановуляция – расстройство, при котором нарушается нормальное созревание яйцеклетки и выход ее из фолликула, что является необходимым условием для предполагаемого зачатия.
При типичной форме изменения могут наблюдаться, начиная с первой менструации, при других типах склерокистоза проявляются позднее.
Другими признаками заболевания могут стать:
- бесплодие,
- неустойчивость менструального цикла,
- избыточное оволосение,
- ожирение разной степени,
- ломкость ногтей, выпадение волос, растяжки на коже.
Каждое из проявлений зависит от формы заболевания и индивидуально для разных пациенток. В редких случаях наблюдаются активные признаки вирилизации (изменения по мужскому типу), такие, как изменение тембра голоса, увеличение размеров клитора, изменение фигуры как у мужского пола.
Диагностика
Обследование на склерокистоз специалист начинает с тщательного сбора анамнестических данных и осмотра. Это позволяет установить время начала заболевания. Проявления первичнополикистозных яичников прослеживаются, начиная с первой менструации у девушек, что отличает их от вторичного процесса.
Клинически заподозрить склерокистоз можно при появлении избыточного оволосения или других признаков вирилизации у девушки, которые могут быть различны. При осмотре в гинекологическом кресле специалист может отметить изменение размеров яичников (уменьшение или увеличение).
Отсутствие изменений базальной температуры, отрицательный тест на овуляцию, длительные проблемы с зачатием позволяют заподозрить отсутствие овуляции.
Аппаратная диагностика
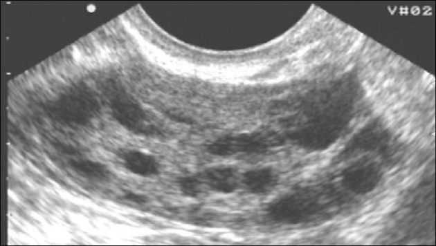
Одним из ключевых методов диагностики склерокистоза является УЗИ органов малого таза. Это исследование проводят несколькими способами с помощью разных датчиков. Трансабдоминально (через живот) можно обнаружить двустороннее увеличение размеров яичников, нередко при недоразвитой матке.
При трансвагинальном УЗИ отмечается увеличение размеров яичников свыше 9-10 см3. Определяется разросшаяся строма и недоразвитые фолликулы под утолщенной капсулой.
Помимо УЗИ, специалист может назначить пельвеограмму. Она помогает обнаружить аномалии размеров матки и яичников.
В ряде ситуаций проводят диагностическую лапароскопию. Это вмешательство, которое проводят через прокол в передней брюшной стенке. При болезни наблюдается утолщение и сглаженность капсулы яичников, увеличение их размеров. При этой процедуре есть возможность провести биопсию с последующим гистологическим пересмотром.
Лабораторные исследования
Среди лабораторных исследований обязательными для склерокистоза считаются:
- Анализ крови на гормоны. Определяют уровень тестостерона, ФСГ, ЛГ и других гонадотропных гормонов. Раньше считалось, что определенные уровни изменения гормонов можно считать диагностическим критерием поликистоза яичников. Но в последнее время диагностируются случаи, когда гормональные показатели в норме, но клиническая картина и признаки позволяют выставить диагноз склерокистоз.
- Диагностика метаболических нарушений: анализ крови на сахар, триглицериды.
Для выявления причины могут быть назначены дополнительно соскобы эндометрия и кольпоцитограмма. Проводят измерение базальной температуры и тесты на овуляцию, чтобы подтвердить ее отсутствие.
Окончательный диагноз выставляют после комплексного всестороннего обследования, которое проходит с привлечением специалистов разных профилей (эндокринолог, невролог, гинеколог).
Лечение склерокистоза яичников
Принципы лечения зависят от симптомов, клиники и возраста больной. Главным фактором для женщин репродуктивного возраста становится бесплодие. В этом случае целью лечения является восстановление нормальной менструальной функции. Параллельно занимаются коррекцией преобладающих симптомов (устраняют ожирение, избавляются от избыточного оволосения). Применяют медикаментозные, немедикаментозные и хирургические методы лечения.
Терапевтическое
На этом этапе проводят коррекцию ожирения с помощью диетотерапии и дозированных физических нагрузок. При этом хороший эффект дает применение физиопроцедур, таких как массаж, ванны, рефлексотерапия.
С такими пациентками должен работать штатный психолог, для устранения психосоматического компонента болезни.
Хирургическое
Оперативные методы лечения используют после или на фоне проводимой консервативной терапии. Выбирают эндоскопические доступы, чтобы дополнительно не травмировать органы малого таза и не вызывать процессы спайкообразования. При склерокистозе используют:
- Резекцию гормон-секретирующих тканей поликистозных яичников.
- Декортикацию (удаление плотного белкового слоя яичников).
- Удаление отдельных кист лазером (лазерная вапоризация).
- Выполнение насечек на фолликулах, для облегчения выхода яйцеклетки из фолликула.
Для коррекции метаболических нарушений, назначают препараты, увеличивающие восприятие инсулина клетками-мишенями.
Консервативную терапию проводят по схеме, предложенной специалистом в течение трех месяцев. Если эффекта от проводимого лечения нет (не наступает овуляция), то женщине предлагают хирургическое вмешательство.
На фоне проводимого медикаментозного лечения важно контролировать гормональный фон и функции яичников, чтобы избежать их гиперстимуляции.
Прогнозы
При своевременной диагностике и лечении прогноз для жизни благоприятный. Медикаментозная терапия и операция увеличивают шансы женщины на устранение бесплодия (60% женщин удается самостоятельно забеременеть и родить ребенка).
Выявление любой выраженной формы поликистоза яичников это фактор риска злокачественных новообразований эндометрия. В таких ситуациях пациентке предлагается активная тактика лечения (выскабливание, гистероскопия) даже если нет жалоб и клинических проявлений болезни.
Можно ли забеременеть при склерокистозе яичников
Ключевой темой является склерокистоз яичников и беременность. Важно понимать, что при отсутствии грамотной терапии вероятность самостоятельно забеременеть существует, но она очень низкая.
Консервативная терапия существенно увеличивает шансу женщины на зачатие ребенка. В других случаях положительный эффект дает сочетание операции и приема медикаментов.
Склерокистоз яичников это не приговор. Каждый случай уникален, но ранняя диагностика и терапия при первых признаках болезни дают достоверно более высокий результат и позволяют женщине насладиться счастьем материнства в будущем.





