Эндометрит представляет собой воспалительное заболевание, которое развивается внутри матки из-за негативного воздействия различных возбудителей. К основным причинам относят следующие факторы: снижение уровня кислотности во влагалище, а также неправильное функционирование антител и иммуноглобулина.
Многие женщины обращаются к врачу из-за подозрения на эндометрит. Только гинеколог подскажет, что это за болезнь и как правильно лечить такое воспаление. При несвоевременном лечении инфекция распространяется на маточные трубы и придатки. В большинстве случаев эндометрит появляется у женщин, которые достигли репродуктивного возраста.

Эндометрит развивается из-за попадания болезнетворной инфекции и распространяется на нижние отделы мочеполовой системы.
Заболевание носит острый или хронический характер. У беременных девушек воспаление появляется после гинекологических манипуляций, которые проводились не стерильными инструментами.
Инфекция может попасть внутрь эндометрия после родовой деятельности. Хроническое течение заболевания обусловлено постепенным накоплением тканей, которые остались после родовой деятельности или механического аборта. Женщинам важно следить за своим здоровьем в послеродовой период, потому что внутри матки образуется большая открытая рана по причине отторжения плаценты. Через нее внутрь попадают различные инфекции и болезнетворные бактерии.
У небеременных женщин хроническая форма эндометрита связана с развитием инфекционных процессов. К ним относят хламидиоз, туберкулез и бактериальный вагиноз. Воспаление даст знать о себе повышением температуры тела и общим недомоганием.
Эндометрий в матке по своей структуре двухслойный базальный и функциональный слои.
Даже при малейших трещинах развивается воспалительный процесс. Внутрь ткани проникают болезнетворные бактерии, которые приводят к осложнениям. Спустя некоторое время появляется воспаление. Это связано с хрупкостью и повышенной чувствительностью слоя.
Можно выделить наиболее распространенные факторы, которые приводят к повреждению эндометрия:
- неаккуратное спринцевание,
- родовая деятельность,
- травма маточных труб при обследовании,
- введение внутриматочной спирали,
- зондирование и выскабливание полости матки.

А также следует выделить следующие наиболее распространенные причины эндометрия матки:
- регулярные стрессовые ситуации, которые приводят к снижению иммунитета,
- недостаток витаминов и хроническое отравление,
- болезни внутренних органов,
- частая смена половых партнеров,
- несоблюдение элементарных правил интимной гигиены.
У пациенток при эндометрите матки появляются сильные болевые ощущения в нижней части живота, болезненность при мочеиспускании и обильные выделения из влагалища с неприятным запахом. Симптомы связаны с бактерией и инфекциями. Существует две формы эндометрита.
- Острая. Пациентки ощущают ярко выраженные симптомы общее недомогание, тянущая боль и покалывания.
- Скрытая. Признаки протекают вяло, поэтому диагностировать эндометрит в полости матки можно при тщательном и комплексном обследовании.
Можно выделить следующие основные симптомы:
- болезненность в нижней части живота, которая имеет схожий характер с менструацией,
- повышение температуры тела,
- усталость и общее недомогание,
- озноб,
- подавленность,
- мажущие, красные, гнойные и бурые выделения из влагалища, которые имеют неприятный запах,
- обильная или скудная менструация,
- болезненность и увеличенный размер матки.
На начальной стадии эндометрита матки у женщин отмечаются мажущие выделения красноватого оттенка. Через несколько дней без лечения они приобретают гнойный характер и становятся бурого цвета. Болезнь постепенно прогрессирует, и инфекция распространяется по маточным трубам.
После заражения воспаление проявляет себя по истечении нескольких дней, а при хронической форме симптомы не проявляются на протяжении длительного времени. Именно по этой причине важно регулярно приходить на осмотр к гинекологу.
Если признаки эндометрита внутри матки проявляются после кесарева, аборта или другого хирургического вмешательства и к ним присоединяется вышеописанная симптоматика, то нужно сразу же обращаться за медицинской помощью. Благодаря современным методам диагностики можно облегчить терапевтическое лечение, устранить воспаление и предотвратить серьезные осложнения.
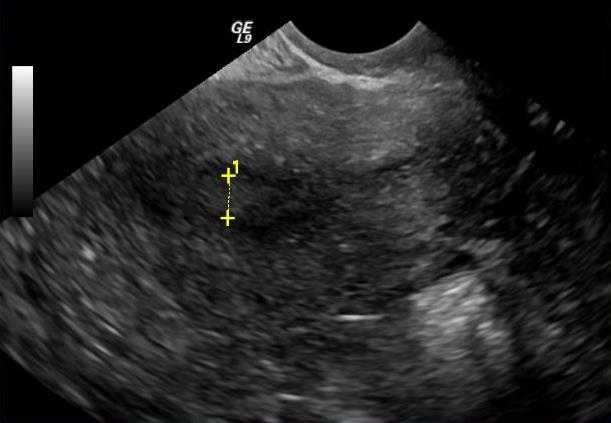
Косвенные признаки определяются на ультразвуковом обследовании. Только опытный врач сможет отличить симптомы начальной и хронической формы болезни. Эхо-признак эндометрита матки можно определить по следующим факторам:
- степень увеличения маточной полости,
- толщина образования,
- наличие и количество спаек.
Поставить точный диагноз можно после тщательного изучения жалоб пациентки, анализа регулярности менструального цикла и комплексного обследования.
Когда признаки эндометрита на ультразвуковом обследовании не дают развернутой клинической картины о тяжести и форме развития, то у женщины нужно взять материал для биопсии.
Это достаточно сложная и болезненная процедура, которая отличается своей информативностью. Такой анализ необходимо проводить только в крайних тяжелых ситуациях. При отсутствии правильной схемы лечения воспаление перерастает в более тяжелую форму, поэтому нередко патология приводит к бесплодию. Эндометрит внутри матки важно полностью долечить и не запускать, чтобы воспаление не приобрело хроническую форму, а также не инфицировало другие важные органы.
Начальный этап диагностики эндометрита в полости матки это тщательное обследование пациентки и определение симптоматики. На начальной стадии определить воспаление поможет гинекологический осмотр и пальпация. При подозрениях на эндометрит врач возьмет мазок и материал для бак посева.

Такие лабораторные исследования помогут определить тип и особенность возбудителя, а также возможную реакцию на медикаментозное лечение. При необходимости назначаются клинические и биохимические анализы крови. Специалисты обнаружат возможные отклонения лейкоцитарной формулы, ускорение СОЭ и уровень лейкоцитов.
Эффективный метод диагностики эндометрита это ультразвуковое обследование матки. Врач оценивает толщину слизистой оболочки, наличие гнойных образований, сгустки крови, остатки плацентарной ткани, воспаление, а также изменения эхогенных слизистых оболочек.
При несвоевременном и неправильном лечении пациентки могут столкнуться со следующими осложнениями:
- спаечный процесс,
- эндометриоз,
- инфицирование новорожденных детей,
- осложнения при беременности,
- заражение ВИЧ,
- бесплодие,
- внематочная беременность,
- полип на шейке матки и эрозия,
- нарушение менструального цикла.
Чтобы избежать развития эндометрита матки важно исключить возможное заражение бактериями и вирусами. Для этого нужно соблюдать элементарные правила личной гигиены. При любом оперативном вмешательстве женщинам назначают специальные препараты, которые имеют антибактериальное воздействие.
После аборта и выскабливания у женщин, необходимо сделать УЗИ полости матки, чтобы убедиться в полном удалении всех сгустки крови, остатки плаценты или плодного яйца. Профилактика эндометрита матки ведение здорового образа жизни и правильное полноценное питание. При частой смене половых партнеров у женщин возможно попадание инфекции, вследствие чего происходит заражение. В зимнее и осеннее время нужно принимать витаминные комплексы.
